Tandreglering, Osynlig tandställning Göteborg | Linnétandvården

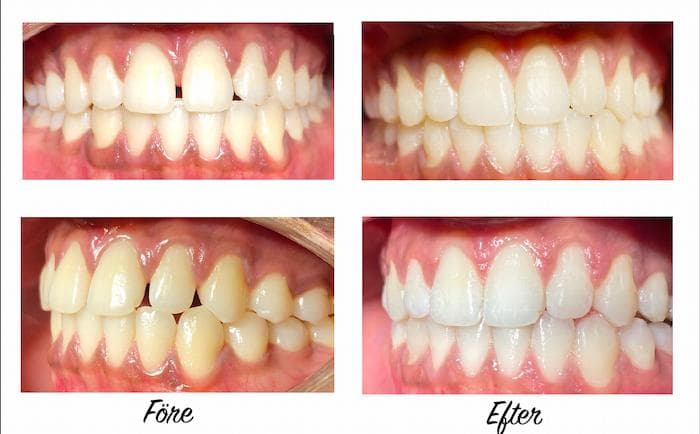
Nytt leende med Invisalign

Oavsett om du har korsbett, underbett, glest eller trångt mellan tänderna eller ett öppet bett, passar Invisalign för dig. Metoden förändrar alla leenden, oavsett önskemål. Det är aldrig för sent att rätta till sina tänder. Invisalign med sin unika flexibilitet passar perfekt som tandreglering för vuxna.

Varenda funktion i systemet Invisalign är utformad för att ge dig leendet du förtjänar. Miljontals patienter har förändrat sina liv med de avtagbara nästan osynliga tandregleringsskenorna, som flyttar dina tänder en liten bit i taget. Varsamt, effektivt och precist.

Eftersom skenorna är genomskinliga och nästan osynliga, kommer du kunna fortsätta leva precis som vanligt. Dessutom är de avtagbara, så att du kan borsta tänderna och använda tandtråd utan några som helst problem.

Det är individuellt hur länge du behöver använda Invisalign. Din tandläkare tar fram en behandlingsplan anpassad för dig och avgör hur ofta som skenan byts ut. Det kan gå så fort som endast tre månader att få ett jämnare leende.

Priser för Invisalign

Lägsta nivån (om det gäller en mindre tandförflyttning) från 30.000 kr.
Medel-svårt fall (bedömning görs av Tandläkaren) mellan 40.000 kr och 60.000 kr.

Boka en kostnadsfri konsultation hos oss på Linnétandvården redan idag.

Läs gärna mer om Invisalign.

boka tid icon 2

Boka tandläkartid

Vi har tid för dig och dina tänder. Boka tid redan idag.
Personal icon

Vårt tandvårdsteam​

Möt medlemmarna i vårt team. Trevlig personal för att du och dina tänder ska må bra.
estetisk tandvård icon

Estetisk tandvård​

Vi hjälper dig få det leende du drömmer om. Kontakta oss för gratis konsultation.

Invisalign

Estetisk tandvård

Fördelar med Invisalign

Vill du få raka, fina och jämna tänder? Med invisalign kan du skapa ett helt nytt leende. Vi på Linnétandvården i Göteborg har hög kunskap om invisalign. Vi har hjälpt många patienter att få rakare tänder med hjälp av metoden. Invisaign är en effektiv metod som passar alla. Det är en uttagbar tandställning som har blivit ett mycket populärt alternativ till den vanliga tandställningen med räls. Det finns flera fördelar med invisalign. Behandlingen sker med hjälp av en specialtillverkad tandskena som formar tänderna sakta till önskat utseende. Skenan sätter ett försiktigt tryck på enskilda tänder. Efter en tid, när tänderna har förflyttats, så byts ut tandskenan ut till en ny. Till skillnad från en tandställning med räls så påverkar inte invisalign ditt utseende på samma sätt, utan du använder en i princip osynlig tandskena. Om du vill ha jämnare tänder och funderar på att skaffa invisalign så hjälper vi på Linnétandvården gärna dig. Vi erbjuder konsultation och undersökning inför invisalign. När processen påbörjats så finns vi nära till hands från början till slut. Hos oss är du i trygga händer!

Invisalign osynlig tandställning

Behandling med Invisalign - hur fungerar det?

Det kan finnas många anledningar till varför tänderna behöver justeras. Det kan bero på att tänderna är sena, sitter för tätt, för långt isär eller att du lider av bettproblematik. Tillsammans med en av våra tandläkare kommer vi att diskutera vilken behandlingsmetod som är mest lämplig och även dina individuella förutsättningar och förväntningar.

Invisalign är ett enkelt och effektivt sätt att skapa ett nytt leende. När du får dina första specialtillverkade tandskenor kommer vår tandläkare att undersöka dina tänder för att säkerställa att dina tänder är i ett gott skick. När du får invisalign kommer du också att gå på regelbundna besök hos en av våra tandläkare eftersom de behöver både se till att tänderna förflyttas som de ska men också för att se att de flyttas i rätt takt. Det är viktigt att du använder invisalign så ofta som möjligt för att de ska ge ett bra resultat. Kontroller hos en av våra tandläkare sker ungefär var 6:e till 8:e vecka beroende på hur förflyttningen sker. Under besöken kan du hämta din nya uppsättning av tandskenor för nästa fas. Det finns många fördelar med att använda invisalign. Du kan både äta och borsta tänderna precis som vanligt. De är mycket lätta att ta ut och i princip transparenta. Du börjar ofta se resultat redan efter ett par veckor men det kan ta ungefär tre till sex månader beroende på hur snabbt dina tänder förflyttar sig. Behandlingen är därför väldigt individuell.

Invisalign bild

Livslångt resultat med Invisalign

Vid behandling med invisalign används en av de mest avancerade teknikerna för genomskinliga tandskenor. Metoden skiljer sig mycket från tandställning med räls eftersom tandskenan som används för invisalign är avtagbar och praktiskt taget osynlig. Att ha tandställning kan också orsaka begränsningar när det gäller maträtter, vilket inte invisalign gör. Du kan också borsta och flossa tänderna som vanligt vilket underlättar mycket. På vår tandläkarklinik Linnétandvården är du i goda händer. Vi ser till att dina tandskenor har rätt passform, besvarar på alla dina frågor och vägleder dig under hela processen. Kontakta oss så bokar vi in en tid för konsultation för dig som vill ha invisalign!

Boka online eller ring oss:

Denna webbplats använder cookies för att säkerställa att du får den bästa upplevelsen på vår webbplats. Genom att fortsätta godkänner du detta.